Skip to main content
Dental Implants
A healthy, beautiful smile starts here

Dental Implants | Dentist
Improve your smile today – call to schedule a consultation!
Claim Now!

Dental Implants

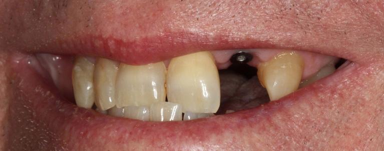
If you're embarrassed by missing teeth, we offer several options for replacing teeth and helping you smile again. One type of replacement that’s very popular at our Lead dental office is stable, durable dental implants.

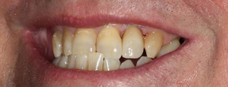
Dental implants are a replacement root to which new teeth are attached. An implant is usually made of titanium, a safe, strong material that bonds securely with your jawbone. A skilled oral surgeon places the implant in your jaw, the implant is allowed to heal, then Dr. Stone makes the tooth functional by pairing the implant with a crown, bridge, or dentures.

We'll Find the Implant Treatment That Fits Your Needs

Dental implants can be used to:

  • Replace multiple individual teeth
  • Replace a single tooth
  • Replace multiple teeth by supporting dentures or a bridge

To use implants to secure a denture, we place the implants at certain points along the jaw, then attach them to your denture. No more annoying slips and no more messy adhesives! Your implant-supported denture will fit better than you ever thought possible.

Since the titanium roots of the implant are firmly secured in your jaw, they stay in place without having to be attached to other teeth and without the need for dental adhesives. We think you’ll be amazed at how natural your dental implants look and feel once the process is complete!

Dental Implants Support Good Oral Health

It’s true that dental implants will make your smile look amazing. But they also offer other benefits:

  • Implants look natural and function like real teeth.
  • They support natural bone tissue to prevent your jawbone from breaking down.
  • Implants are very durable and can last for years.
  • Dental implants support surrounding teeth and keep them in proper position.

Implants will also help you avoid many oral health problems that can occur when a tooth is not replaced. Implants protect your dental health, restore your smile, and hold up to the wear and tear of daily life.

We Provide the Highest Standard of Care

Dr. Stone will spend time talking to you about dental implants and our other tooth replacement options. During your consultation, our goal is to learn about your goals so you can feel comfortable with the decision you make about your treatment.

We work together with top oral surgeons in Rapid City who are highly qualified to expertly place your dental implant. Dr. Stone and your oral surgeon are in constant contact during this phase, so you can be assured of stress-free treatment as you move through the dental implant process.

If you’re interested in learning more about dental implants and the ways they can benefit you, please contact our Lead dental office. We will be happy to arrange a no-obligation consultation to discuss the options we offer for making your smile whole and healthy. 

Frequently Asked Questions

Once the implant and restoration process is complete, most people cannot feel any difference between the implant and their own natural teeth. Dental implants are permanent replacement teeth that are held in place by a small post (the implant) placed in your jaw. The stability afforded by the dental implant has a lot to do with its natural fit and feel.

Dental implants have quickly become the tooth replacement method of choice at our dental office. An implant is the only option for replacing one or more missing teeth that is designed to act and feel like a fully functioning tooth. Unlike dental bridges or partial dentures, the implant is secured to your jawbone and becomes a replacement for the missing root.

The primary purpose of the replacement root is to stabilize the dental restoration that is attached to it. It also protects your oral health by helping to stimulate regrowth of the surrounding bone and tissue in your jaw. If the root is not replaced, the jawbone can gradually deteriorate because it lacks the root.

You should definitely consider dental implants if you are missing one or more teeth. We understand it is a big decision, and you should have all the information you need to decide if an implant is right for you. Please contact our dental office and we will be happy to arrange a consultation so that we can explain the procedure and answer your questions.

Dental implants are so effective because of a very small post that is inserted in your jaw. This post actually integrates with surrounding bone tissue and becomes a replacement root for your missing tooth.

The implant is made of titanium, a remarkable material that is bio-compatible. This means that the implant is absorbed as a natural part of surrounding tissue.

Dental implants are actually placed in three steps. First, the implant is placed in your jaw and allowed to heal. Once healing is complete, a small extension called an abutment is attached to the implant. Finally, a dental crown is attached to the abutment, creating a fully functional, stable tooth.

The fact that the dental implant actually becomes part of your jaw makes it the one of the most effective tooth replacement options available today. This is because it provides all the stability of a natural tooth, allowing you to speak and chew normally.

Even though a dental implant is considered to be permanent, the crown portion may eventually need to be repaired or replaced.

Having a dental implant placed is a big decision, and you should gather as much information as possible about the advantages and cost involved. Please don’t hesitate to contact our dental office, and we will be glad to arrange a consultation to answer all your questions and discuss the procedure.

 

Basically, a dental implant is a replacement tooth. Its foundation is a small titanium post implanted in the jaw bone and gradually integrates with surrounding bone and tissue. A dental implant can be placed almost anywhere that a tooth used to be. It is different from other options like dentures and bridges because it actually takes the place of the root of your missing tooth.

Our dental implants are specially prepared so that the bone cells of your body will grow close to the implants and attach to it. A crown or other appliance will later be attached to your dental implant to create a new, functioning tooth.

Dental implants need to be cared for properly, but they will not develop cavities the way that natural teeth do. The crown will also need proper care so that your dental implant can provide the lifetime of service.

If you are looking for a solution to replace a missing tooth, please contact our dental office. Dental implants are a great option, but not everyone is a good candidate for this type of tooth replacement. We can arrange a consultation with Dr. Stone to discuss your needs and help you decide if a dental implant is the best choice for you.

Missing teeth can lead to all sorts of problems aside from the impact they have on your appearance. That is why we recommend replacing missing teeth as soon as possible.

A missing tooth can cause discomfort when you eat and chew and can also make it difficult to speak clearly. Since surrounding teeth have to take up some of the work of the missing tooth, they may also feel sore and overworked.

This can also lead to problems with your dental bite as excess pressure causes you to move your jaw in an unnatural way. When your bite is unbalanced (meaning that you bite down harder on one side than the other), you may start to grind your teeth. In turn, teeth grinding can lead to its own problems like premature wear, broken teeth, and even TMD.

Another potential problem is the natural movement of your teeth over time. When a tooth and its root are missing, surrounding teeth will gradually move to fill the empty space. This happens because there is nothing there to prevent them from shifting out of their proper position.

Replacing missing teeth is not just good for your self-esteem, but it also benefits your oral health. At Northern Hills Dental we offer a number of solutions for replacing missing teeth, including dental implants, bridges, and dentures. Please contact us to arrange a consultation so we can explain all your options.

 

Meet Our Doctor:

Comfortable dentistry in Lead SD

Dr. Reid Stone DDS

“Dentistry is an industry where advancements in technology are rapid, and I enjoy constantly learning and implementing new technology and techniques to better treat our patients.”

Dr. Stone received his Bachelor of Science degree from Baylor University, and then attended the University of Colorado, School of Dental Medicine, where he received his Doctor of Dental Surgery degree. In addition to his education, Dr. Stone participates in many hours of continuing education courses each year; far exceeding the 100-hours required every five-years to maintain his South Dakota Dental license.

As ...

Getting an appointment is fast and easy!
Get Started!