Smile Gallery
What would your dream smile look like? We can choose from a wide variety of services and treatments to help you achieve your goals, but it may be hard for you to picture the final results. Please take a moment to look at our smile gallery and get some inspiration about what's possible for you!
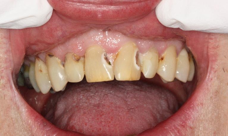
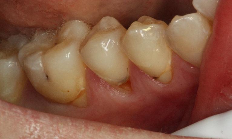
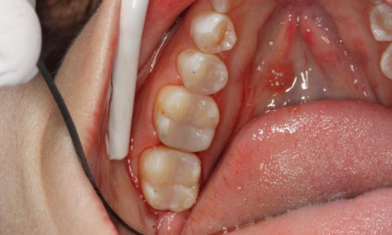
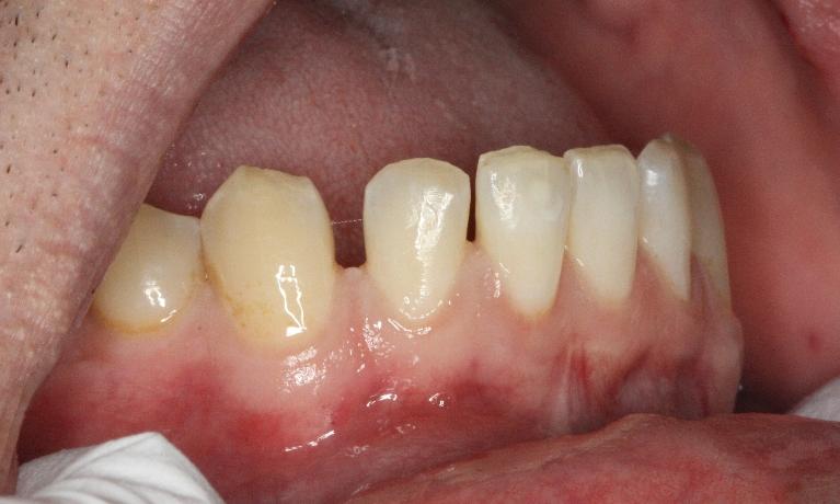
Before
After
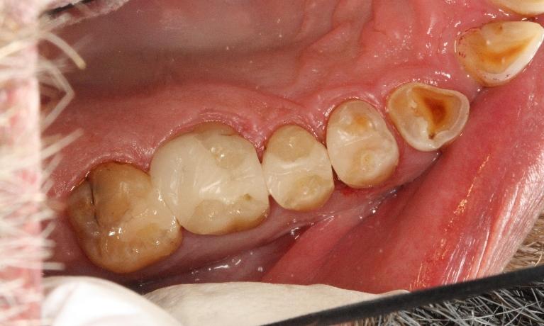
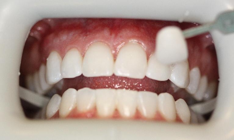
All-Porcelain Crowns
Patient had a tooth with an old broken down metal filling.
A great result after placing the crown!
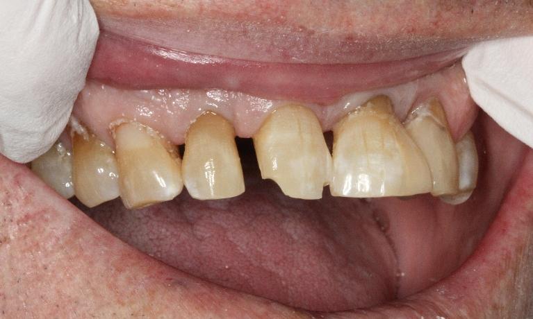
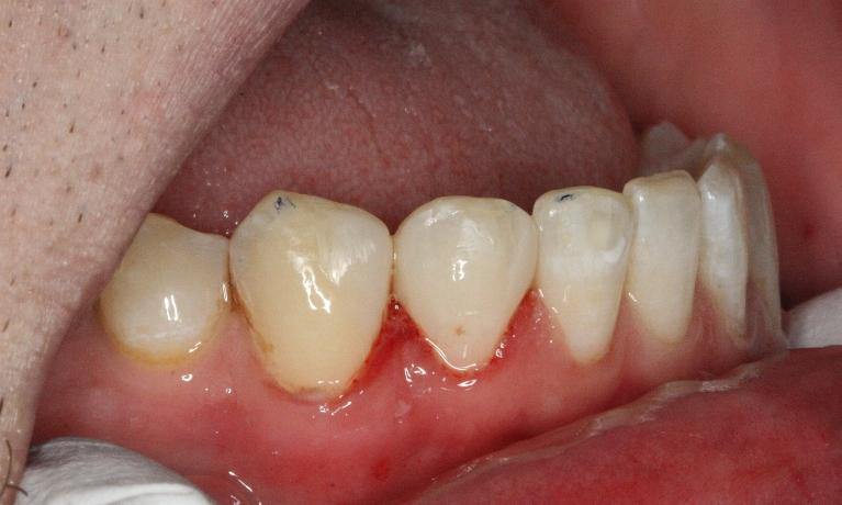
Before
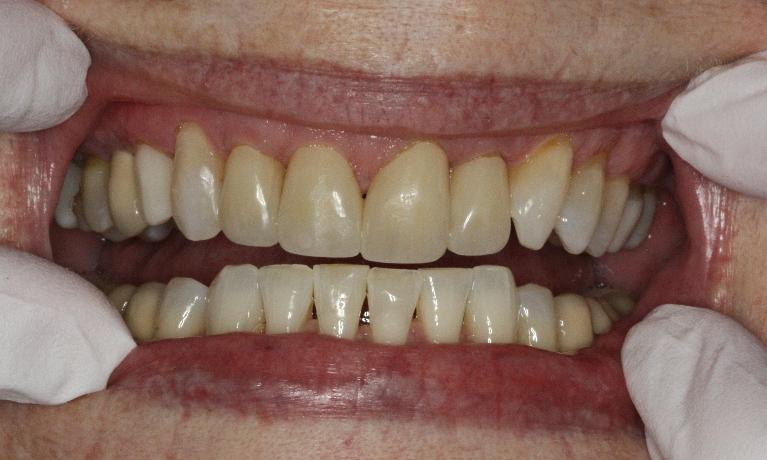
After
All-Porcelain Crowns
Patient had some teeth with old broken down metal fillings.
A great result after placing the crowns!
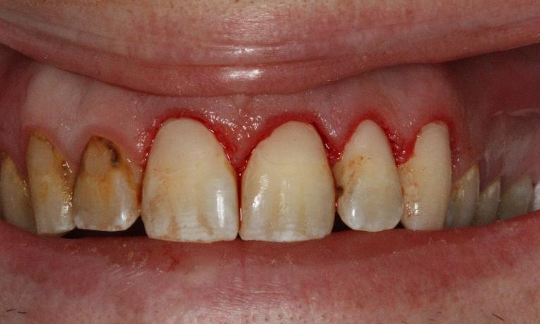
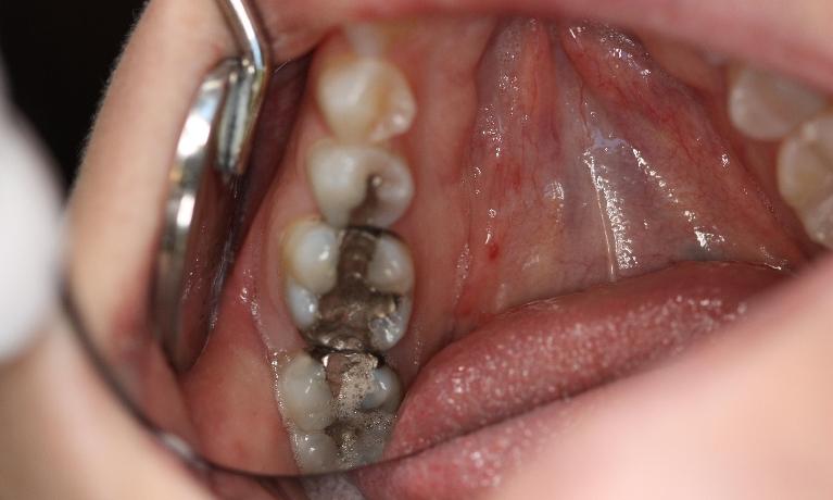
Before
After
All-Porcelain Crowns
Patient had some teeth with old broken down metal fillings. A great result after placing the crowns and we also were able to straighten the teeth.
Before
After
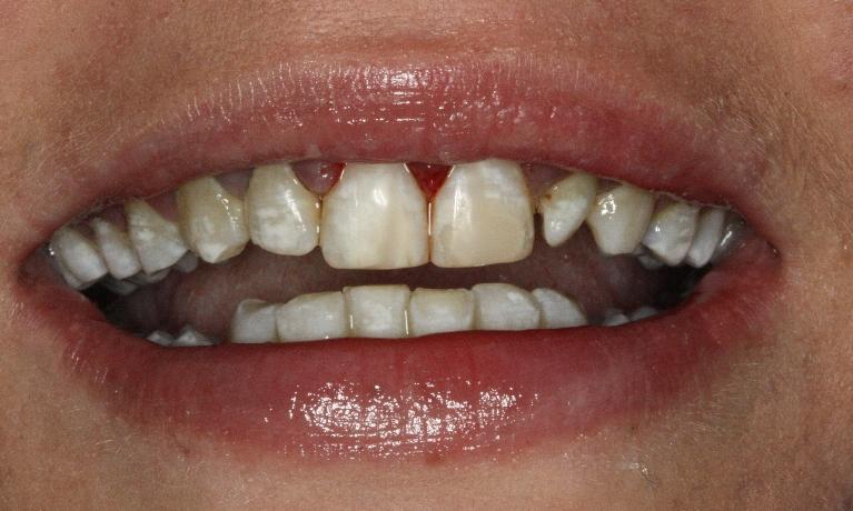
Anterior White Fillings
Patient had several areas of decay in the front teeth.
White fillings were offered as a solution to repair the area.
The white fillings provided a great esthetic option for this area.
Before
After
Anterior White Fillings
Patient had several areas of decay in the front teeth.
White fillings were offered as a solution to repair the area.
The white fillings provided a great esthetic option for this area.
Before
After
Anterior White Fillings
Patient had areas of decay in the front teeth.
White fillings were offered as a solution to repair the area.
The white fillings provided a great esthetic option for this area.
Before
After
Anterior White Fillings
Patient had several areas of decay and chipping in the front teeth.
White fillings were offered as a solution to repair the area.
The white fillings provided a great esthetic option for this area.
Before
After
Anterior White Fillings
Patient had several chipped areas in the front teeth.
White fillings were offered as a solution to repair the area.
The white fillings provided a great esthetic option for this area.
Before
After
Before
Anterior White Fillings
Patient had several areas of decay in the front teeth.
White fillings were offered as a solution to repair the area.
The white fillings provided a great esthetic option for this area.
Before
After
Anterior White Fillings
Patient had several areas of decay in the front teeth.
White fillings were offered as a solution to repair the area.
The white fillings provided a great esthetic option for this area.
Before
After
Before
Diastema Closure
Patient did not like the space between her teeth after she completed orthodontics. A diastema closure with the use of white filling material was offered as a solution.The result is a smile that lacks the space between the teeth and a natural looking tooth.
Before
After
Diastema Closure
Patient did not like the space between their teeth.
A diastema closure with the use of white filling material was offered as a solution.
The result is a smile that lacks the space between the teeth and a natural looking tooth.
Before
After
Diastema Closure
Patient did not like the space between their teeth and one of the teeth had some chipping..
A diastema closure with the use of white filling material was offered as a solution.
The result is a smile that lacks the space between the teeth and a natural looking tooth.
Before
After
Diastema Closure
Patient did not like the space between their teeth.
A diastema closure with the use of white filling material was offered as a solution.
The result is a smile that lacks the space between the teeth and a natural looking tooth.
Before
After
After
Esthetic Anterior Crowns
Patient did not like the look of their natural teeth.
Multiple crowns were offered as a solution.
A dramatic change and great esthetic look was the result.
Before
After
Esthetic Anterior Crowns
Patient did not like the look of their natural teeth.
Multiple crowns were offered as a solution.
A dramatic change and great esthetic look was the result.
Before
After
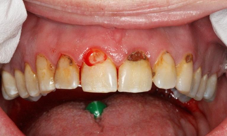
Before
Esthetic Anterior Crowns
Patient did not like the look of their natural teeth.
Multiple crowns were offered as a solution.
A dramatic change and great esthetic look was the result.
Before
After
Esthetic Anterior Crowns
Patient did not like the look of their natural teeth.
Multiple crowns were offered as a solution.
A dramatic change and great esthetic look was the result.
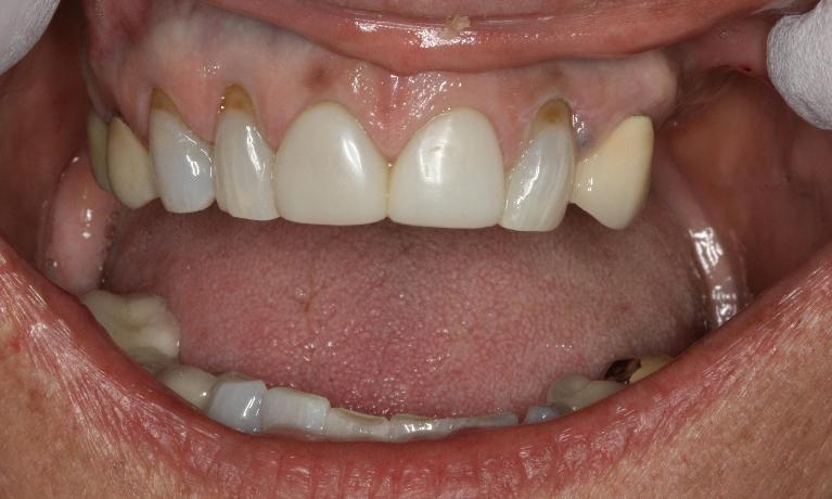
Before
After
Esthetic Anterior Crowns
Patient did not like the look of their natural teeth.
Multiple crowns were offered as a solution.
A dramatic change and great esthetic look was the result.
Before
After
Before
After
Esthetic Anterior Crowns
Patient did not like the look of their natural teeth.
Multiple crowns were offered as a solution.
A dramatic change and great esthetic look was the result.
Before
After
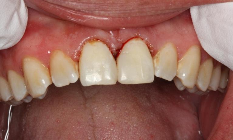
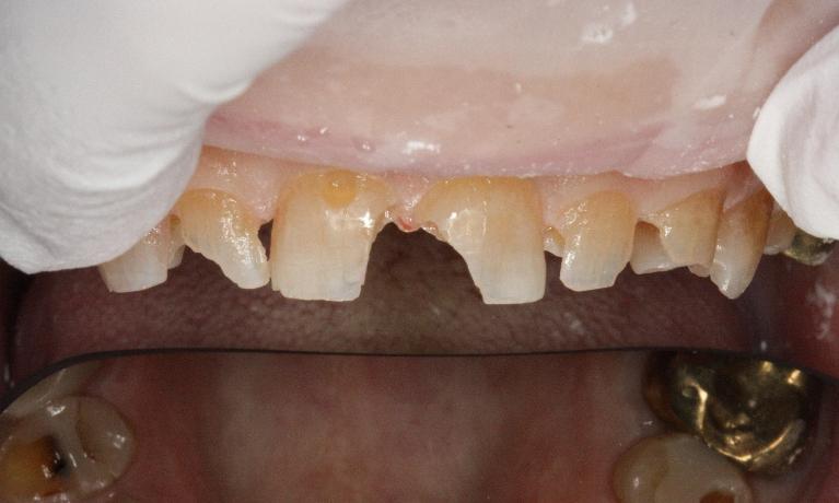
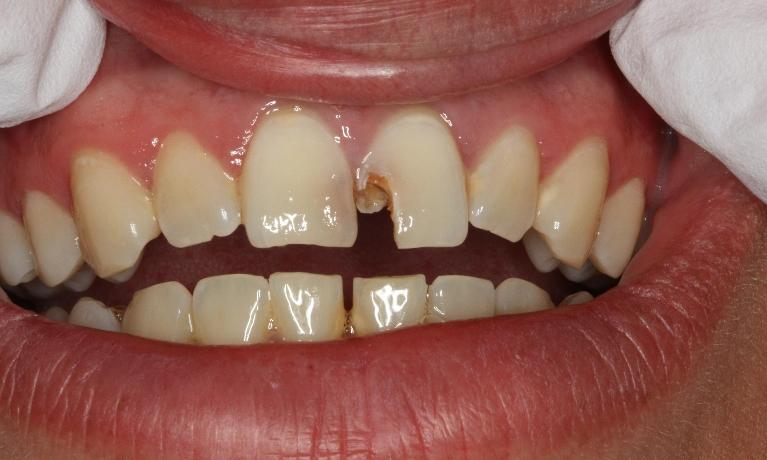
Esthetic Composite Bridge
Patient was missing a tooth due to trauma. A composite "bridge"
was used to close the space. It provided a great esthetic option for this area.
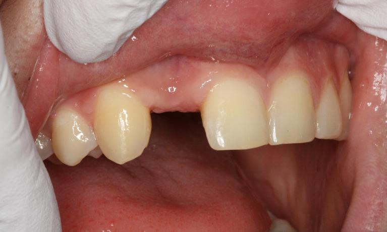
Before
After
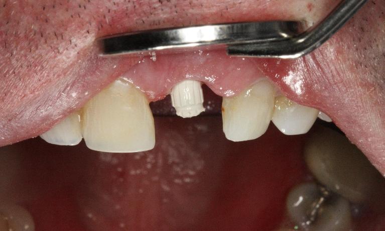
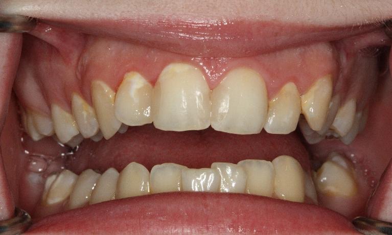
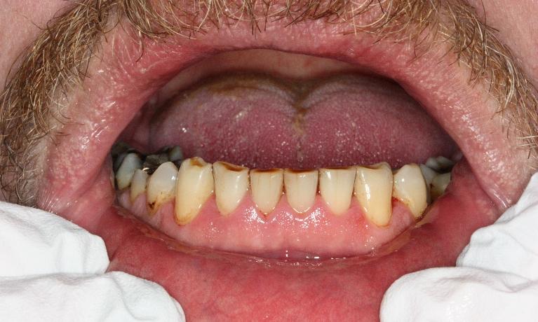
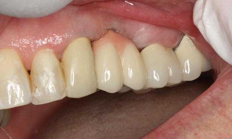
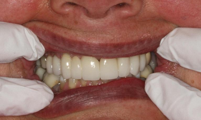
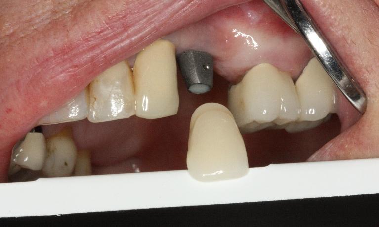
Implant Crowns
Patient was missing a tooth in the front of their mouth. An implant solution was offered to the patient. An implant was placed and a crown was attached to it. Great "almost natural" approach to tooth replacement.
Before
After
Implant Crowns
Patient was missing two teeth in the front of their mouth.
An implant solution was offered to the patient.
Two implants were placed and restored with two crowns.
Great "almost natural" approach to tooth replacement.
Before
After
After
Implant Crowns
Patient was missing a tooth in the front of their mouth.
An implant solution was offered to the patient.
An implant was placed and a crown was attached to it.
Great "almost natural" approach to tooth replacement.
Before
After
Implant Crowns
Patient was missing two teeth near the front of their mouth.
An implant solution was offered to the patient.
An implant was placed and a two-toothed crown was attached to it.
Great "almost natural" approach to tooth replacement.
Before
After
Implant Crowns
Patient was missing a tooth in the front of their mouth.
An implant solution was offered to the patient.
An implant was placed and a crown was attached to it.
Great "almost natural" approach to tooth replacement.
Before
After
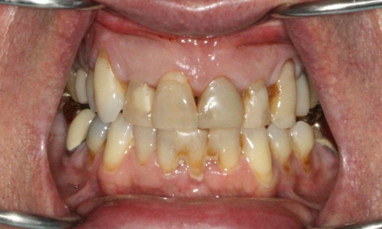
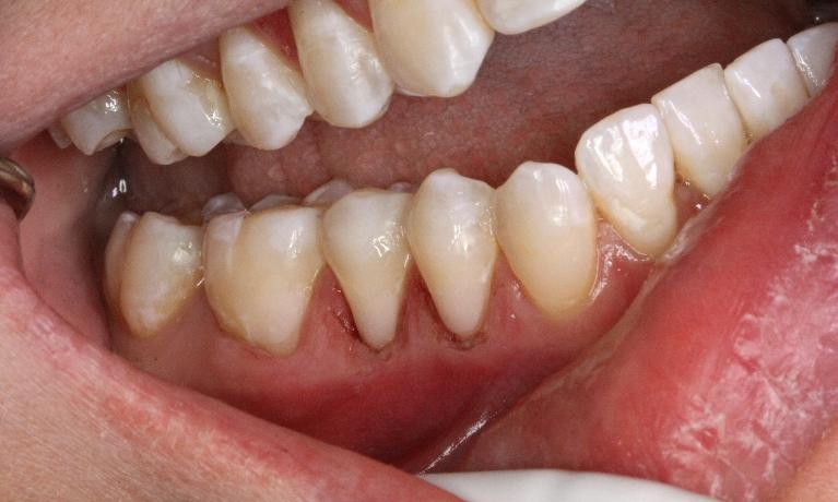
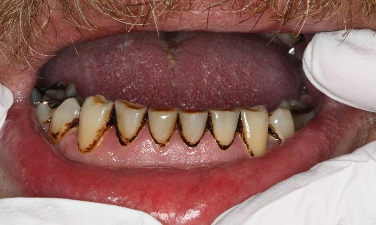
Prophy Stain Removal
Patient had stained teeth as a result of diet.
They were here for a normal cleaning, and the stain was removed by polishing the teeth.
Before
After
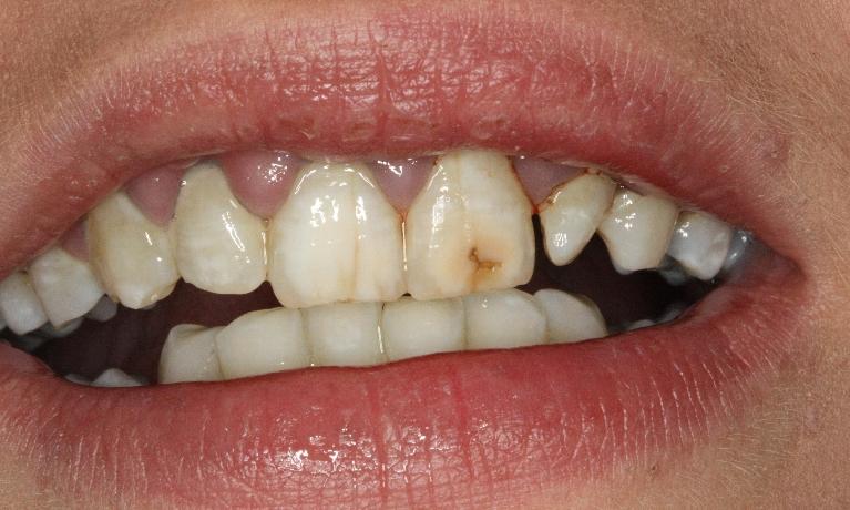
White Fillings
Patient had some old and broken down metal fillings that needed replacing.
White fillings were offered as a solution to repair the area.
The white fillings provided a great esthetic option in this area.
Before
After
White Fillings
Patient had some old and broken down metal fillings that needed replacing.
White fillings were offered as a solution to repair the area.
The white fillings provided a great esthetic option in this area.
Before
After
White Fillings
Patient had some dental issues near the gum line.
White fillings were offered as a solution to repair the area.
The white fillings provided a great esthetic option over the alternative metal filling in this area.
Before
After
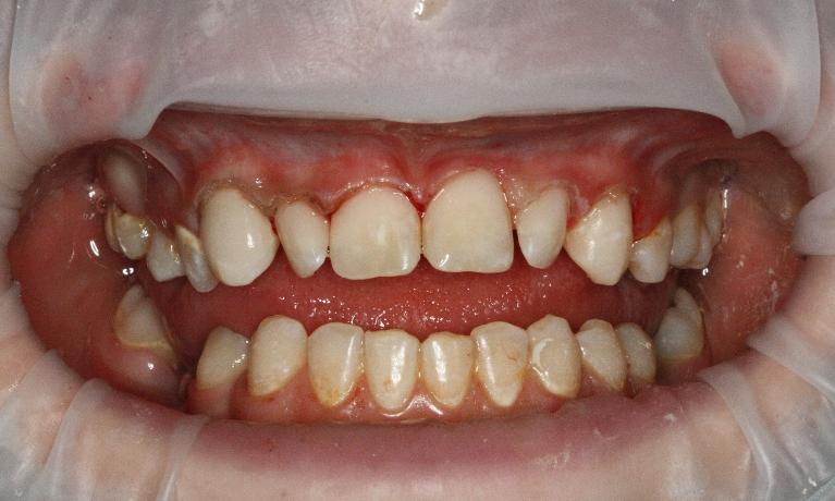
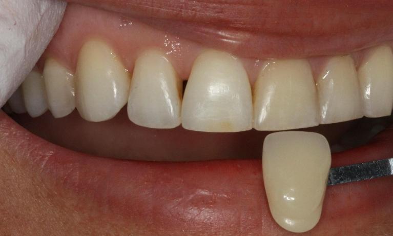
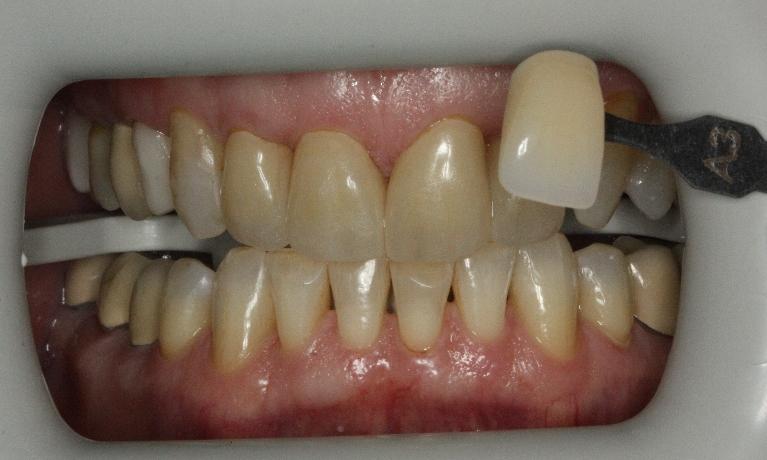
Whitening
Patient did not like the color of their teeth. Whitening was offered as a solution. Zoom Whitening was used and lightened several shades!
Before
After
Whitening
Patient decided to have new white crowns to replace the old ones for cosmetic purposes.
Whitening was done to lighten the surrounding teeth to match the new whiter crowns.
You can see the result of whitening the natural tooth structure compared to the old crowns that did not whiten.
Before
After
Whitening
Patient did not like the color of their teeth.
Whitening was offered as a solution.
Zoom Whitening was used and lightened several shades!
Before
After
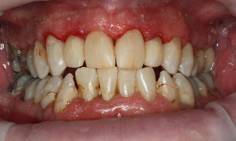
Before
Whitening
Patient had tetracycline stained teeth.
Whitening is an option, but difficult as it is an internal vs. external stain.
Used the Zoom Ultimate Whitening protocol and we were able to lighten several shades. Patient was happy with the results.
Improve your smile today – call to schedule a consultation!
Claim Now!
Smile Gallery Categories
Darby W.
I have nothing but positive things to say about Northern Hills Dental. Every one of my visits to Dr. Stone’s office has been enjoyable and stress free. The staff and Dr. Stone himself are welcoming and friendly, making you feel right at home. They provide excellent service and care about each and every patient and their needs. If you’re looking for a great dentistry, Northern Hills Dental in Lead is the place to go.