Dr. Stone's Office
Menu
Call
Book Now
Map
Home
About
Our Team
Technology
Office Pictures
Services
View All
Comfortable Dentistry
Dental Implants
Full & Partial Dentures
General Dentistry
Periodontal Disease Treatment
Preventative Care
Restorative Dentistry
Sleep Appliances
Teeth Whitening
Tooth-Colored Fillings
Athletic Guards
Smile Gallery
Testimonials
Patient Information
View Patient Information
Forms
Financial
FAQs
Blog
Contact
Dr. Stone's Office
Schedule an Appointment
Like us on Facebook
Visit us on Yelp
Leave a Google Review
FourSquare
(605) 584-2983
82 Dunmire Dr., Lead, SD 57754
Dr. Stone's Office
>
Smile Gallery
>
Anterior White Fillings
Meet Dr. Stone
What We Do
Tour The Office
New Patients
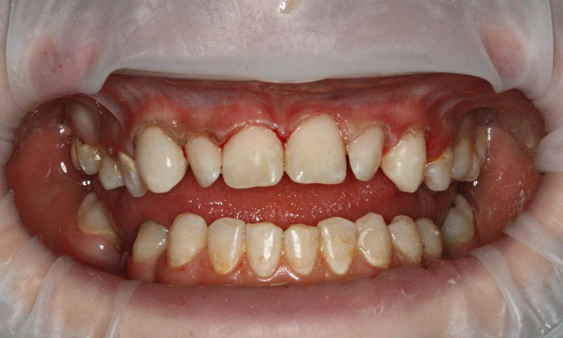
Anterior White Fillings
Return to Smile Gallery
Previous
Next
Patient had several areas of decay in the front teeth. White fillings were offered as a solution to repair the area. The white fillings provided a great esthetic option for this area.
Related Services:
Tooth-Colored Fillings
Drag the arrows back and forth to view complete Before and After views
Still need an appointment?
Contact Us
If you have difficulty using our website, please
email us
or call us at
(605) 584-2983
View the
ADA Accessibility Statement
Turn on ADA Views
OK!
×
×
Contact Us Today
Give Us A Call
Dr. Stone's Office -
(605) 584-2983
Send Us an Email
Schedule an Appointment
Contact
Ready to Schedule an Appointment?
Schedule an Appointment
Have Questions? Contact Us:
Required Field
Your Name:
Phone:
Email:
Are you a new patient?:
Are you a?
New Patient
Current Patient
How would you like us to contact you?
Please choose
Email
Call
How did you hear about us?
Please choose
I'm an existing patient
Google/Bing
Mailer
Word of mouth
Social media
Other
Who Referred You?:
Appointment Preferences
Monday
Tuesday
Wednesday
Thursday
Your Message:
This site is protected by reCAPTCHA and the Google
Privacy Policy
and
Terms of Service
apply.
Sending...
×
This Patient's Experience
Loading Testimonial...
Loading Case...